No.0004
- 小児矯正
- RAMPA
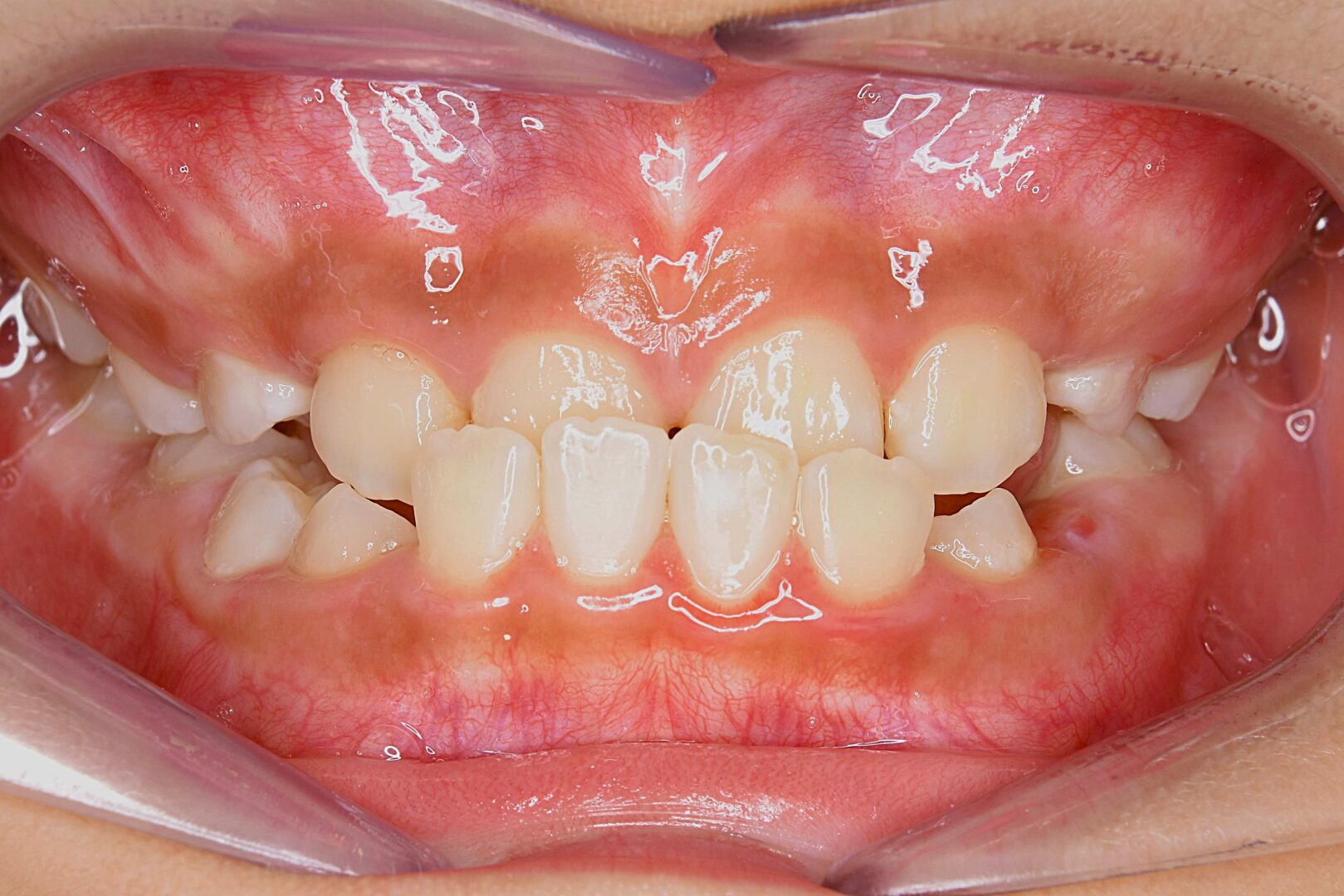
- 反対咬合(受け口)
| 主訴 | 受け口。父親も受け口で手術(外科矯正)の経験あり。 |
|---|---|
| 治療開始年齢 | 9歳5ヶ月 |
| 治療期間 | 4年0ヶ月 |
| 治療費総額 | ¥1,716,000(税込) |
| 主訴 | 受け口。父親も受け口で手術(外科矯正)の経験あり。 |
|---|---|
| 治療開始年齢 | 9歳5ヶ月 |
| 治療期間 | 4年0ヶ月 |
| 治療費総額 | ¥1,716,000(税込) |