Cases

症例紹介

診療科目
治療方法
症状名

No.0003

  • 小児矯正
  • バイオブロック
  • 叢生(凸凹)
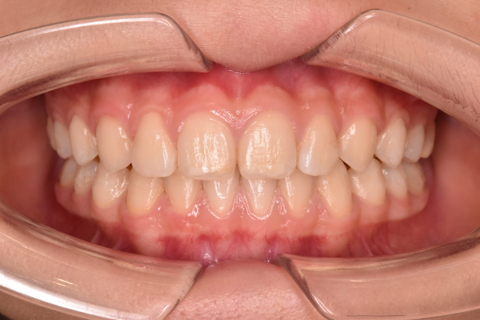
治療前
治療後
主訴 犬歯の生える隙間がない。
治療開始年齢 7歳11ヶ月
治療期間 3年4ヶ月
治療費総額 ¥1,321,900(税込)

No.0002

  • 小児矯正
  • バイオブロック
  • 叢生(凸凹)
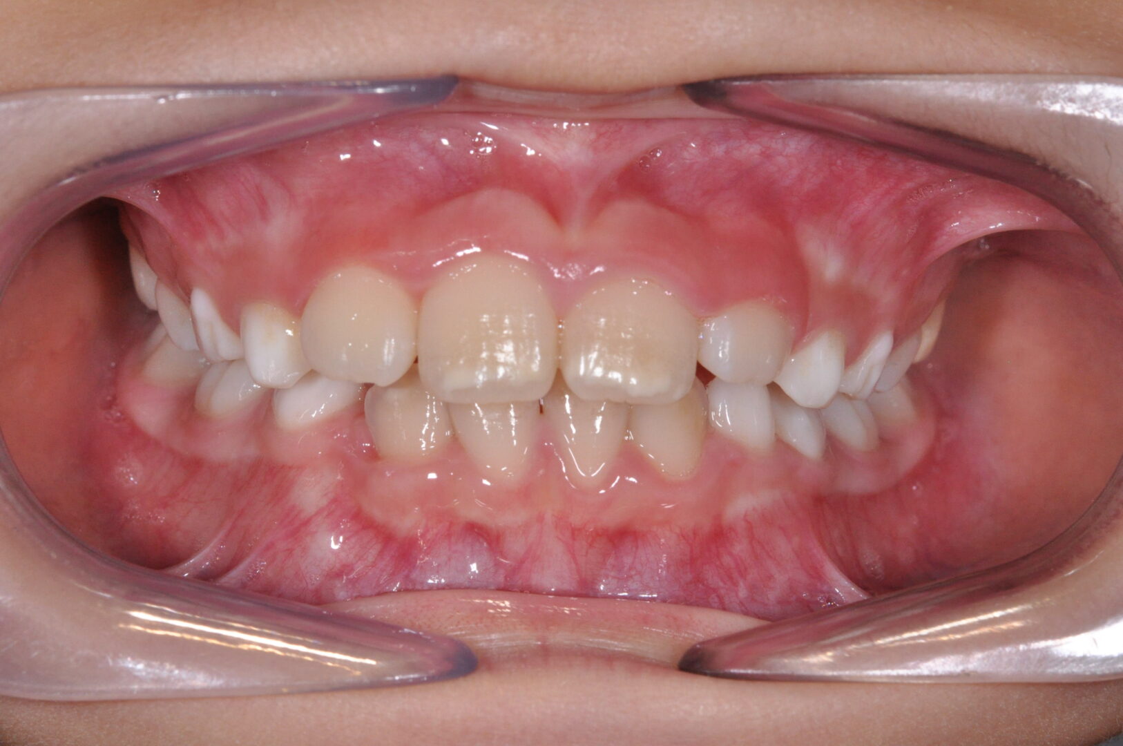
治療前
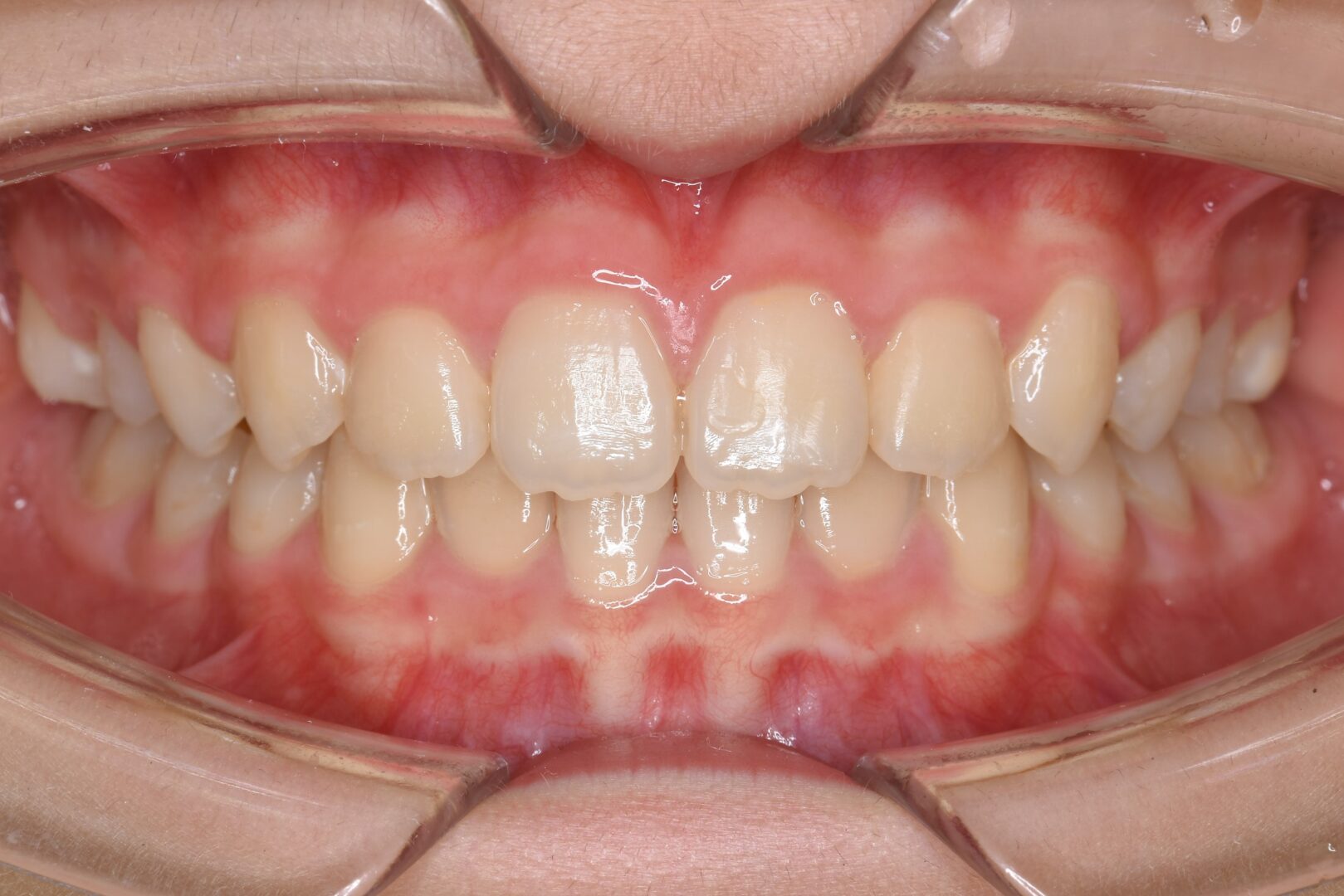
治療後
主訴 永久歯の生える場所がない。ガタガタの歯並びが気になる。
治療開始年齢 7歳7ヶ月
治療期間 3年6ヶ月
治療費総額 ¥1,653,000(税込)